30岁男子回老家喝了碗生猪血 半年后深夜抽搐倒地

医生看完CT倒吸凉气 寄生虫在头部安家……

2026-03-13

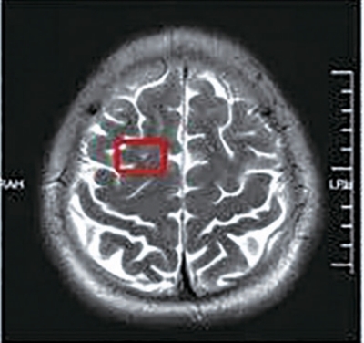
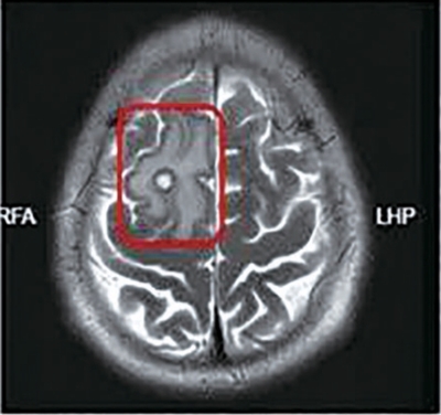
  2025年8月20日   2026年3月6日   经过半年治疗,患者颅内病灶水肿逐渐吸收缩小。

  扫码观看视频

  记者 俞茜茜 视频记者 周文锐 通讯员 谢晨

  2025年7月夏季的深夜,30多岁的小王在汕尾老家熟睡时,毫无征兆地突发肢体抽搐、口吐白沫,同时失去意识,整个发作过程持续约两分钟,所幸被妻子及时发现,第一时间陪同前往当地医院就诊。

  完善头颅核磁共振检查,结果提示脑内占位,是脑部肿瘤还是其他部位肿瘤转移?

  随后,小王夫妻又辗转到广州,“在那里再次复查,排除肿瘤的可能性,右侧额叶病变考虑感染的可能性,但仍未找到答案。”小王说,自己曾经在浙江工作过,因此想到了来杭州就医。

  发病前半年曾吃过生猪血

  最终诊断脑囊虫病

  去年8月,小王再次发病,住进了树兰(杭州)医院感染病科病房,高海女主任带领的诊疗团队没有局限于初步的影像学判断,而是结合患者既往发病史、检查结果与饮食暴露史,逐一排除肿瘤、脑血管病变等其他病因,最终考虑寄生虫感染可能。详细问诊中,小王坦言发病前半年春节回老家曾吃过生猪血。

  复盘整个病程,患者既往有生食猪血史,与脑内额叶寄生虫病灶、癫痫发作的症状高度吻合,彻底揭开了这场突发疾病的谜底。最终明确诊断:脑囊虫病。

  原来罪魁祸首就是未经彻底煮熟的生猪血——猪带绦虫的幼虫(囊尾蚴)通过血液进入中枢神经系统,在小王的大脑里“安了家”。

  经过系统性、针对性的规范治疗后,患者颅内病灶水肿逐渐吸收,出现缩小趋势。近日小王和妻子来杭州进行半年复查:颅内病灶较半年前明显缩小,身体抽搐症状消失。

  脑囊虫病有多危险?

  其实这并非个例。近年来,全国多地都曾报道过类似病例,直指“生食猪血”的隐患:

  2024年,深圳一位六旬大伯坚持数十年喝生猪血“进补”,反复头痛晕倒,检查发现脑内布满寄生虫病灶;同年,广西南宁一名男子因爱吃生猪肉、猪血,突发癫痫,确诊为脑囊虫病。

  据中国疾控中心数据,我国人体囊虫病感染率为0.14%~3.2%,其中脑囊虫病是最常见的类型,也是我国中枢神经系统寄生虫病的“主力军”。

  作为猪带绦虫幼虫引起的人兽共患疾病,脑囊虫病的危害远超想象:

  症状复杂:除了癫痫发作,还可能引发剧烈头痛、颅内压增高、意识障碍,严重时会导致肢体瘫痪、视力失明,甚至危及生命;

  隐蔽性强:感染初期可能毫无症状,一旦幼虫在大脑内发育、死亡,引发炎症和脑水肿,症状会突然暴发,给诊疗带来难度。

  而感染的核心途径之一,就是食用未经检疫或未煮熟的含囊尾蚴的肉类、血液制品。散养户生猪的囊尾蚴感染率,是规模养殖场的3-21倍,这也让来源不规范的生猪血风险倍增。

  “生吃滋补”没有任何科学依据

  只有100℃的高温才能杀死猪带绦虫

  在民间,不少人认为“白酒浸泡”“食醋腌制”能杀灭生血里的寄生虫,还有人觉得“生吃猪血能清肺、补血”,这些说法全都站不住脚。

  中国疾控中心寄生虫病预防控制所明确指出:猪带绦虫卵抵抗力极强,70%酒精、食醋、酱油对其几乎无作用,只有100℃的高温彻底加热,才能将其杀死。

  大蒜、芥末、盐腌等“土法”,以及低温冷冻,也都无法彻底灭活囊尾蚴,所谓“生吃滋补”的说法,更是没有任何科学依据。