入职体检拍胸片

意外发现胸主动脉瘤

2025-09-22

邱小伟 浙江省中西医结合医院(杭州市红十字会医院) 放射科主任、主任医师

近日,41岁的王女士换了工作单位,在常规入职体检中拍了一张胸片,没想到竟救了自己一命。

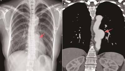
王女士在进行入职体检时,我们敏锐地发现其胸片检查显示纵隔影增宽,胸主动脉区域存在可疑膨隆,于是建议她进一步检查。经CT血管造影(CTA)检查,确诊为胸主动脉瘤——一个随时可能破裂的“高危炸弹”。幸好发现及时,我们在动脉瘤破裂前为王女士进行了微创介入治疗,成功躲避了致命风险。

主动脉瘤常被称为“体内的不定时炸弹”,破裂前往往无明显症状,一旦破裂死亡率极高。王女士平日自我感觉身体健康,也从无胸闷、胸痛等不适,若非此次胸片检查揪出“沉默杀手”,后果不堪设想。

胸片显示,王女士胸主动脉的形态和大小超出正常范围,这一线索成为诊断的关键点,为治疗争取了宝贵时间。所以,体检中的常规影像学检查绝非“走过场”,而是疾病筛查中至关重要的第一道防线。

除了动脉瘤,还有一个更急、更凶险的疾病需要引起注意,那就是急性主动脉综合征(AAS)。

急性主动脉综合征(AAS)是一组因主动脉内膜撕裂或破裂导致的危及生命的急性病症,包括主动脉夹层、主动脉壁内血肿和穿透性主动脉溃疡等。其起病突然、进展迅速,常表现为剧烈胸痛、背痛或腹痛,伴随血压升高,极易被误诊为心肌梗死或其他常见疾病,因此尽早识别有助于提升救治率。

CT血管成像(CTA)能够清晰显示主动脉夹层的内膜片、破口位置、真腔与假腔,评估撕裂范围,为手术方案的制订提供精确依据。其快速、全面的特点,使其成为诊断AAS的“金牌标准”。

提醒大家,若出现突发剧烈胸痛、疼痛呈持续性且难以缓解,尤其是伴随肢体脉搏不对称等情况,应高度警惕AAS,尽快就医并根据情况进行CT血管造影检查,以明确诊断并及时处理。

(记者 俞茜茜

通讯员 张弛 司马斌 整理)