“医心一意 健康有我——致敬杭州好医生”特别报道

4厘米铁钉卡在 11月龄婴儿气管里

父母深夜狂奔凌晨4点赶到杭州 多亏这位好医生

2025-08-25

记者 俞茜茜 通讯员 施总颖

“肚子里好像有团火在烧,恨不得一下就到杭州。”上周一凌晨,一位爸爸驱车在高速上疾驰,妻子抱着孩子泣不成声。

就在前一天晚上,家里11个月大的孩子不知从哪里扒拉出来一枚钉子,好奇地舔起来,姐姐见状着急要拿走,却不料,反激起了妹妹的“护食”欲,一下把钉子吞了下去!

“钉子在气道里,太长了。”当地医院犯了难,爸爸当机立断,开车赶到杭州。两小时的车程从未感觉如此漫长,当赶到杭州市妇女儿童医疗集团朝晖院区(杭州市儿童医院)时,已接近凌晨4点。

爸爸满脸惊恐和疲惫:“医生,孩子不会要开胸吧?”

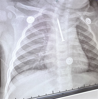
见惯了各类异物的放射科医生,在看到X片结果时,也吓了一跳。“情况特殊,孩子年龄小,难配合,任何哭闹或呛咳都可能导致钉子移位,进而引发气管和神经损伤。”

“这枚铁钉太长,正好斜跨在气管和气管分叉的气管隆突之间。”呼吸内科医生侯进飞介绍,铁钉大部分钉体位于气管内,尖端朝上,紧贴气管壁,末端朝下,落在隆突和左侧支气管之间。孩子的每一声哭吵甚至咳嗽,都有可能造成尖端扎破气管壁引起气胸、纵隔气肿甚至划破气管周围伴行的大血管引起大出血。

更麻烦的是,术前复查的胸片显示铁钉的位置比在当地医院拍片时更深了,说明异物还在下移!

绿色通道开通,呼吸内科、耳鼻咽喉科合作采用内镜介入技术取异物,胸外科、重症医学科随时做后续准备,手术室弥漫着紧张的氛围。

侯进飞医生操作着气管镜,每一步都小心谨慎。到达气管内时,大家倒吸一口凉气,长钉银白色的钉尖就像一支箭正朝向镜头,紧贴着气管壁,正随着呼吸在动。手术团队紧密配合,小心翼翼地用异物篮套牢钉子头部,慢慢牵引出气道……终于,这枚“定时炸弹”被顺利拔除!

“这个钉子长度接近4厘米,现在想想还是有点后怕。毕竟对于一个11月龄的婴儿来说,它太过‘巨大’,一不小心就足以致命。”当侯进飞拿着长钉来到手术室外时,除了泪水和一声声感谢,家长已经不知该如何表达。

第二天,孩子又和往日一样,随着音乐开心得手舞足蹈,她或许不会记得这次危险的经历,但对于孩子父母,是终身难忘的阴影。

“看到孩子转危为安,我们也感到很欣慰。同为父母,我能共情家长的感受。家属的认可和配合,医患之间彼此信任,才能让这场与死神的赛跑有个好的结局。”侯进飞说,“一名儿科医生,能得到孩子和家属的认可,必然需要具备千锤百炼的好技术,这就是我理想中的好医生!”